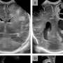
URGENT UPDATE: Two severe cases of infant meningitis tied to the Paenibacillus infection have been reported by the Penn State College of Medicine, raising immediate alarms about the diagnosis and treatment protocols for this emerging pathogen. These incidents highlight critical neurological injuries in infants, including abnormal accumulation of cerebrospinal fluid and seizures, reported earlier today.
The initial linkage to Paenibacillus came from reports in Uganda, where healthcare authorities identified similar cases of destructive neonatal infections. Now, multiple states across the United States are witnessing alarming trends, with the potential for routine antibiotic regimens for infant bacteremia and meningitis proving inadequate against this newly identified threat.
Health officials are sounding the alarm as the severity of these infections is underscored by the extensive brain damage observed in affected infants. The implications are dire: physicians may need to revise their treatment approaches to effectively manage these rare but dangerous infections.
As of now, healthcare providers are urged to remain vigilant in identifying symptoms associated with Paenibacillus. Early diagnosis is crucial, as delays in treatment could lead to devastating outcomes. The medical community is on high alert, with ongoing discussions about potential modifications to existing antibiotic protocols.
What happens next? Experts are calling for immediate research to better understand the pathogenic mechanisms of Paenibacillus and to develop effective treatment guidelines. Parents and caregivers are advised to watch for signs of meningitis, such as high fever, irritability, and unusual lethargy in infants.
Stay tuned for more updates as this situation develops, and share this vital information to help raise awareness of this emerging health crisis.
